当耳痛遇上面瘫,警惕“亨特综合征”
新浪陕西健康频道
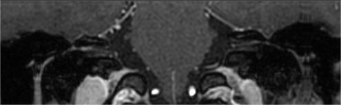
关注日前,27岁的王女士在无明显诱因的情况下突然出现右眼闭眼不全,同时伴有右面颊部麻木、口角歪斜,随后又出现右耳疼痛及发热,体温最高达到38.1℃,外敷膏药及静滴消炎药治疗后,发热症状得以缓解,但其它症状并无明显缓解。王女士遂来西安市中心医院就诊,医师为王女士做了相关专科检查,发现她的右耳廓及外耳道皮肤充血肿胀,牵拉感到疼痛,局部见散在疱疹。此外,王女士右眼闭眼时露白,右侧额纹及鼻唇沟变浅,鼓腮时右侧口角漏气,口角歪斜。结合王女士的临床症状,即右耳部疼痛、疱疹,并伴有右侧周围性面瘫,耳鼻喉科医生初步诊断为亨特综合征。之后,安排王女士又进行了面神经MRI增强检查及曲面重建,图像显示右侧面神经内听道段、乳突段增粗且强化明显,右侧耳廓肿胀并明显强化,王女士的疾病最终确诊为亨特综合征。
(注:白色箭头所指为右侧面神经内听道段、
乳突段增粗且强化明显)
01
那什么是亨特综合征呢?
亨特综合征,即Ramsay Hunt综合症(Ramsay Hunt syndrome,RHS),是由潜伏在面神经膝状神经节的水痘-带状疱疹病毒感染引起的一组特殊症状,其最早在1907年由Ramsay Hunt首先报告,由此得名。本病典型临床表现为耳部剧痛、耳部疱疹及同侧周围性面瘫三联征。该病毒还可侵袭多个脑神经,如三叉神经、蜗神经、前庭神经等,引起听力下降、持续性眩晕、耳鸣、头痛等症状,甚者可向颅内侵犯,引起病毒性脑炎。本病是继发性面神经麻痹的常见原因之一,占所有面瘫的2-10%,发病前多有诱因,如机体免疫力降低、上呼吸道感染、受凉等。
02
如何通过影像学检查
来诊断亨特综合征呢?
MRI增强扫描技术是诊断亨特综合征的有效方法之一,多表现为患侧面神经节段性异常明显强化,强化程度明显高于健侧正常面神经。但面神经本身走行迂曲,主干直径较小,常规影像检查无法将面神经全程完整显示在一副图像上,发现病灶也相对较困难。面神经MRI增强扫描曲面重建技术可以将不同层面的结构重建在同一层面上,以显示面神经全貌及走形,且对病灶的显示也较清晰,在亨特综合征诊断中发挥了较好的效果。西安市中心医院放射科配备Philips Ingenia 3.0T MRI及GE HDXT 1.5T MRI扫描仪,自2016年开展面神经磁共振成像及曲面重建技术,通过多平面重建图像,不仅可以显示面神经本身全貌,且对于亨特综合征的成像,可以直观显示面神经病变节段,明确范围,便于及时发现患者的病因,有助于临床积极诊断和治疗。
专家提醒
在日常生活中要注意休息,保证充足睡眠,避免过度劳累、感冒、受凉等,适当加强锻炼,提高机体免疫力,预防本病的发生。一旦出现耳部剧痛、耳部疱疹及面瘫时,应及早到医院就诊,进行合理、系统、规范的治疗,争取早日康复。



