榆林:5岁患儿颅底鸡蛋大肿瘤被成功切除
新浪陕西健康频道
关注日前,交大一附院榆林医院神经外科二病区纪文军主任医师带领团队,成功为一名5岁患儿实施内镜经鼻蝶颅咽管瘤切除术。手术不仅挽救了孩子的生命,也显著改善了其预后与生活质量,以精湛医术守护了幼小的生命。
患儿欢欢(化名)原本活泼可爱,但先后出现视物模糊、反复头痛、精神萎靡等症状。不久前欢欢突然抽搐、意识不清,被家人紧急送往当地医院。头颅CT检查提示鞍区占位性病变,考虑颅咽管瘤,且已合并梗阻性脑积水。这突如其来的重病让全家陷入困境,经多方打听,家属慕名来到交大一附院榆林医院寻求救治。此时欢欢已处于昏迷状态,并伴有反复癫痫发作,病情十分危急。
神经外科二病区纪文军主任医师接诊后,立即组织多学科团队进行紧急术前评估,并第一时间为患儿施行急诊脑室外引流术,同时给予规范的抗癫痫治疗。经过紧急处理,欢欢意识逐渐恢复,为后续手术创造了关键条件。
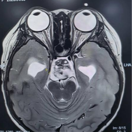
术前核磁共振检查
为精准掌握肿瘤情况,团队为欢欢完善了垂体MRI平扫+增强检查及相关激素水平检测。结果显示:肿瘤体积超过4厘米,形如鸡蛋,已严重压迫视神经与垂体,突入第三脑室,并与周围重要神经血管结构紧密粘连。颅咽管瘤是一种起源于颅底的先天性良性肿瘤,因体积大、位置深,且毗邻下丘脑、视神经、垂体等重要结构,手术切除难度极高,稍有不慎就可能导致失明、终身内分泌紊乱甚至有生命危险。
面对这一高风险、高难度的复杂病情,纪文军主任医师带领团队制定了精准的个性化手术方案,并联合内分泌风湿免疫科专家,共同规划术后内分泌管理、视力康复及营养支持方案,力争在彻底切除肿瘤的同时,最大程度保护神经功能,全面预防术后并发症。
术后垂体MRI增强检查
手术中,团队借助高清4K神经内镜,凭借精湛的显微操作技术,细致分离肿瘤与周围神经、血管的粘连。历经3小时,肿瘤被完整切除,下丘脑、垂体柄、视神经等重要结构均得到完好保护。术后病理确诊为颅咽管瘤。
在医护团队的精心照护下,欢欢神经功能障碍明显改善,视力逐渐恢复,头痛症状完全消失,梗阻性脑积水得到有效缓解。之后顺利拔除脑室引流管,未出现脑脊液漏、感染等并发症,内分泌功能也通过药物获得精准调控。
目前,欢欢已摆脱病痛,重新拥抱阳光下的生活,奔跑欢笑,生命之花再度绚烂绽放。此次高难度微创颅咽管瘤切除术的成功,充分展现了西安交大一附院榆林医院神经外科在复杂颅底肿瘤多学科联合诊疗方面的雄厚实力,也为同类疾病患儿的诊治积累了宝贵经验。
专家简介
[纪文军简历]
医学博士、主任医师、硕士研究生导师。
博士毕业于首都医科大学附属北京天坛医院,师从我国神经介入奠基人吴中学教授。目前任西安交通大学第一附属医院榆林医院院务委员、脑科医院院长、神经外科二病区主任,兼任10多家省级以上学会的委员和常委,榆林市神经介入学会主委、榆林市脑血管病质量控制中心主任。擅长脑血管病的神经介入诊疗、重型颅脑损伤与脑出血的综合救治、颅内肿瘤的微创治疗等。在区域内率先开展了颅内动脉瘤栓塞、颅内血管狭窄支架植入、颅内大血管闭塞取栓等各类神经介入手术,内镜下垂体瘤切除等神经内镜手术。目前已在Stroke,World Neurosurgery等国际神经外科与脑血管病杂志发表SCI论文15篇;在《中华神经外科杂志》、《中华医学杂志》、《中国微侵袭神经外科杂志》、《中国卒中杂志》等发表核心论文40余篇。参与国家自然科学基金及省部级基金4项,主持陕西省自然科学基金等省级基金项目3项,主持榆林市科技项目3项。获得陕西省科技进步奖2项,榆林市科技进步奖7项。参编著作3部,参译著作3部。获得榆林市青年科技奖、榆林市优秀科技工作者、榆林市有突出贡献专家、榆林市十大杰出青年、榆林市十大科技创新人物等诸多荣誉称号。
[杜彦挺简历]
西安交通大学第一附属医院榆林医院神经外科二病区副主任,主任医师,神经外科学硕士,中共党员,神经外科党支部书记。获榆林市科技进步二等奖两项,发明专利3项,发表论文10余篇,获得榆林市第二届“最美医生”称号。现任中华医学会神经外科分会委员,陕西省神经外科分会委员,榆林市微创神经外科学会秘书长等。
能熟练完成颅内肿瘤如脑胶质瘤、脑膜瘤、垂体瘤、颅咽管瘤、听神经瘤及椎管内脊髓内、外肿瘤切除术。熟练完成先天性颅脑疾病如小脑扁桃体下疝、先天性颅骨畸形、脑积水分流等手术。特别擅长重型、特重型颅脑损伤、各类脑出血及神经外科常见急危重症的抢救和手术。
[罗有才简历]
罗有才,主任医师,2005年于第四军医大学西京医院神经外科学1年,2010年于北京神经外科学院北京市神经外科研究所北京天坛医院高级医师提高班上学1年。多年来从事颅脑损伤、脑肿瘤、脊柱脊髓疾病、功能神经外科、脑出血及脑梗塞等疾病的临床工作。现任中华医学会神经外科分会会员,榆林市医学会神经外科分会会员,陕西省保健学会会员,榆林市公安局鉴定专家成员。
[李涛简历]
李涛,副主任医师,硕士研究生;本科毕业于西安交大医学院,硕士毕业于山东大学齐鲁医学院;九三学社社员,陕西省医学传播学会神经介入专委会委员,陕西省国际医学交流促进会神经介入专委会委员,陕西省医学会神经介入专委会委员,榆林市微创神经外科学会常务委员,榆林市卒中学会常务委员。2021年在西京医院进修脑血管病的介入治疗。擅长颅内动脉瘤、动静脉畸形、颈动脉及颅内血管狭窄等脑血管疾病、重症颅脑外伤、颅内肿瘤、脑积水等神经外科疾病的诊治。在国内核心期刊发表专业文章5篇,参与翻译神经外科专业论著1部。
[张伟简历]
张伟,副主任医师,硕士研究生;本科毕业于延安大学医学院,硕士毕业于新疆医科大学;陕西省神经外科学会委员,陕西省医学传播学会神经介入专委会委员,榆林市微创神经外科学会常务委员,榆林市卒中学会委员。擅长脑胶质瘤、脑膜瘤、垂体瘤、颅咽管瘤等颅内肿瘤疾病,重症颅脑外伤、脑出血、脑血管病,脑积水等神经外科疾病的诊治,擅长经鼻及经颅神经内镜应用。在国内核心期刊发表专业文章6篇。
[赵乐简历]
赵乐,硕士,副主任医师,本科毕业于西安医学院,硕士毕业于昆明医科大学;中共党员,榆林市微创神经外科学会常务委员,榆林市卒中学会委员。擅长颅内动脉瘤、动静脉畸形、颈动脉及颅内血管狭窄等脑血管疾病诊治,擅长重症颅脑外伤、颅内肿瘤、脑积水、脊柱疾病等神经外科疾病的诊治。现有榆林市科技基金项目1项,在国内核心期刊发表专业文章4篇。
[郭谢凡简历]
郭谢凡,主治医师,硕士研究生;本科毕业于西安医学院,硕士毕业于大连医科大学;中共党员,陕西省神经介入委员,擅长颅内动脉瘤、动静脉畸形、颈动脉及颅内血管狭窄等脑血管疾病、重症颅脑外伤、颅内肿瘤、脑积水、功能神经外科等神经科疾病的诊治。
科室简介
[神经外科二病区简介]
神经外科二病区是集医疗、科研、教学于一体的榆林市神经外科领域独具特色的优势专科,为陕西省临床重点建设专科,陕西省医师协会神经外科分会副主委单位,榆林市神经介入学会主委单位,榆林市神经外科质量控制中心与榆林市脑血管病质量控制中心主任单位。
目前开设床位40张。拥有医师9名,其中主任医师3名、副主任医师3名、主治医师1名、住院医师2名;其中医学博士1名、在读医学博士1名、医学硕士6名。省管专家1名,榆林市突出贡献专家1名。拥有国内先进的GE 复合手术室,3T核磁共振、256排螺旋CT、西门子大型平板DSA造影机、 Leica手术显微镜、STORZ神经内镜、术中神经电生理监测仪、立体定向仪等先进设备。与首都医科大学附属北京天坛医院等国内顶级神经外科中心建立了友好合作关系。经过约20年的不懈努力,亚学科建设突飞猛进,形成了以下诸方面的学科特色,已成为陕甘宁蒙晋交界区的神经外科中心。
1.脑血管病神经介入治疗:率先在榆林市内成功开展颅内动脉瘤栓塞、脑动静脉畸形栓塞、脑动静脉瘘栓塞、脑血管狭窄支架植入、颅内外大血管病闭塞的介入开通、颅内静脉窦血栓的介入开通、颅内肿瘤的术前栓塞等各类神经介入手术,目前处于国内先进水平。
2. 颅内肿瘤微创治疗:率先在榆林市内开展了内镜下颅内肿瘤切除、脑干肿瘤切除、功能区肿瘤切除、颅底肿瘤切除等高难度手术,目前处于省内先进水平。
3.功能神经外科手术:率先在榆林市内开展三叉神经痛和面肌痉挛的微血管减压手术,目前处于省内先进水平。
4.脊柱脊髓手术:率先在榆林市内开展3D打印下脊柱手术,可独立完成环枕部畸形、椎管狭窄减压、椎管内肿瘤切除等各类脊柱脊髓手术,目前处于省内先进水平。
5.颅脑损伤与脑出血:每年成功救治各类重型颅脑损伤与脑出血患者百余例,可完成硬膜外血肿清除、去骨瓣减压、颅内血肿清除、颅内血肿定向置管引流、颅骨修补、脑室腹腔分流等,目前处于省内先进水平。
来源:西安交大一附院榆林医院



